就医指南 预约挂号
我院多学科协作成功诊断一例疑难病:卡氏肺孢子菌病
2020-04-11
作者:
浏览量:
据了解,肺孢子菌病是由卡氏肺孢子菌所引起的呼吸系统机会感染。卡氏肺孢子菌体寄生在肺泡内,其临床特征:发热、干咳、呼吸急促、呼吸困难和发绀等,症状呈进行性加剧,病死率高。 该病发病无性别和季节差异。值得注意的是在不同个体及疾病的不同病程,PCP临床表现差异甚大。
病例基本情况:
多学科协作分析病情
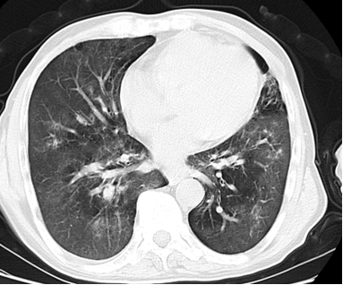
患者影像学表现
(上图为检查结果)
(上图为院长吴家礼进行疑难解答)
(上图为检验科描述检查结果)
目前,患者正在我院呼吸与危重症医学科接受进一步治疗,病情稳定。
病例讨论活动是进一步强化医疗质量的一项重要举措,一直以来,我院结合自身优势,长期坚持多学科协作,对疑难病例及时、高效的开展多学科讨论分析,旨在解决临床疑难复杂问题,总结临床经验教训,培养年轻医师的临床思维能力,持续质量改进,提高患者满意度。
关键词:
吴家礼,呼吸疾病,急危重症,内科常见病,外科常见病
暂无数据