茶城家礼 杏林仁心

厚德、精医、博爱、惠民

MORE +

茶城家礼 杏林仁心

厚德、精医、博爱、惠民

MORE +
scroll down

我院多学科协作成功诊断一例疑难病:卡氏肺孢子菌病

2020-04-10

作者:

浏览量:


近日,我院多学科协作团队成功诊断一例卡氏肺孢子菌病(PCP)。
     据了解,肺孢子菌病是由卡氏肺孢子菌所引起的呼吸系统机会感染。卡氏肺孢子菌体寄生在肺泡内,其临床特征:发热、干咳、呼吸急促、呼吸困难和发绀等,症状呈进行性加剧,病死率高。   该病发病无性别和季节差异。得注意的是在不同个体及疾病的不同病程,PCP临床表现差异甚大。
     据呼吸与危重症医学科主任温永权介绍,该病主要的感染途径为空气传播和体内潜伏状态PC的激活。PC在肺内繁殖并逐渐充满整个肺泡腔,并引起肺泡上皮细胞空泡化,脱落。其潜伏期一般为2到4周。需要较高的诊断能力才能明确诊断。


 

     4月9号下午,我院组织各科室就该病例进行了讨论会。

病例基本情况:


      患者文某某,男,56岁,因“咳嗽、咳痰伴畏寒、发热5天”入院。
      患者5天前因淋雨受凉后出现咳嗽、咳痰,为阵发性单声咳嗽,伴咳少许白色粘液,不易咳出,伴胸闷、气促,活动受限,平路行走200米既感呼吸困难,伴右侧胸痛,咳嗽时加重,咯血1次,色鲜,量约1ml,伴畏寒、发热,体温未测,伴鼻塞、头痛,伴咽部疼痛、全身酸痛,伴乏力、纳差,无神志及意识障碍。

多学科协作分析病情   

 

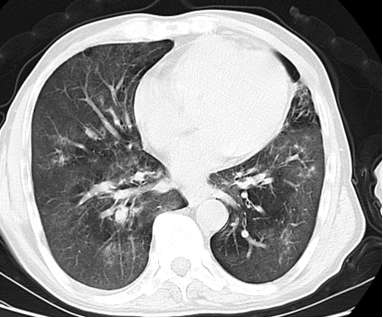
患者影像学表现

 

 

(上图为检查结果)

     在此次讨论会中,参会医护人员就该病进行了激烈讨论,从病情介绍、自由发言、现场解答等几个方面内容。主治医师介绍病历后,在场业务骨干积极发言,分别从“卡氏肺孢子菌病”的诊断、用药、鉴别诊断、治疗等多个方面进行了激烈的讨论、分析, 各抒己见,从客观的角度提出了具体意见。

 

(上图为院长吴家礼进行疑难解答)

     院长吴家礼参加讨论会,与现场医护人员就该病例的诊治方案进行了现场分析,并就该病例的疑难点进行了解答。

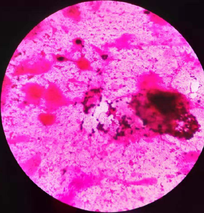
(上图为检验科描述检查结果)

     目前,患者正在我院呼吸与危重症医学科接受进一步治疗,病情稳定。

      

      病例讨论活动是进一步强化医疗质量的一项重要举措,一直以来,我院结合自身优势,长期坚持多学科协作,对疑难病例及时、高效的开展多学科讨论分析,旨在解决临床疑难复杂问题,总结临床经验教训,培养年轻医师的临床思维能力,持续质量改进,提高患者满意度。

上一页

下一页


关键词:

吴家礼,呼吸疾病,急危重症,内科常见病,外科常见病

暂无数据

暂无数据