茶城家礼 杏林仁心

厚德、精医、博爱、惠民

MORE +

茶城家礼 杏林仁心

厚德、精医、博爱、惠民

MORE +
scroll down

消化内科提醒:过年别贪吃,注意消化疾病

2020-01-19

作者:

浏览量:


      人吃五谷杂粮,哪有不生病的

特别是在春节过年期间,更容易导致消化道疾病

消化内科医生指出:从每年门诊病人的情况来看,春节期间比较易发消化系统疾病

大家过年期间一定要注意饮食健康,忌暴饮暴食

 

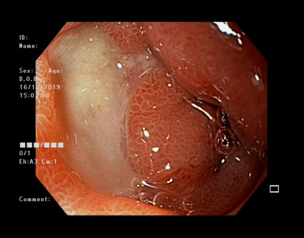
病例:消化性溃疡
患者:余**    性别:男    年龄:68岁     因“腹部疼痛伴恶心、呕吐1天”于2019年10月14日入院,并在我院行胃镜检查显示:胃窦溃疡。

行胃镜检查显示:胃窦溃疡
确诊后,我院消化内科团队开始针对患者情况进行治疗,症状明显得到缓解,无腹痛。
家礼医院消化内科团队提醒:胃溃疡是消化科最常见疾病,发病时患者以上腹部疼痛为主要症状,常呈隐痛、钝痛、胀痛、烧灼样疼痛。胃溃疡多发反复发作、瘢痕形成易形成幽门梗阻,导致食物不能消化,溃疡长期不愈合,特别是年龄45岁以上者有癌变风险。
胃溃疡并发症:消化道出血、癌变、梗阻、胃穿孔。
诊断方式:胃镜是诊断本病有效检查。
                                  消化内科医生办公室:24382251

                   护士站:24338603

 


 

 

 

上一页

下一页


关键词:

吴家礼,呼吸疾病,急危重症,内科常见病,外科常见病

暂无数据

暂无数据