就医指南 预约挂号
病例丨切勿乱服中草药,警惕肝小静脉闭塞症
2019-12-06
作者:
浏览量:
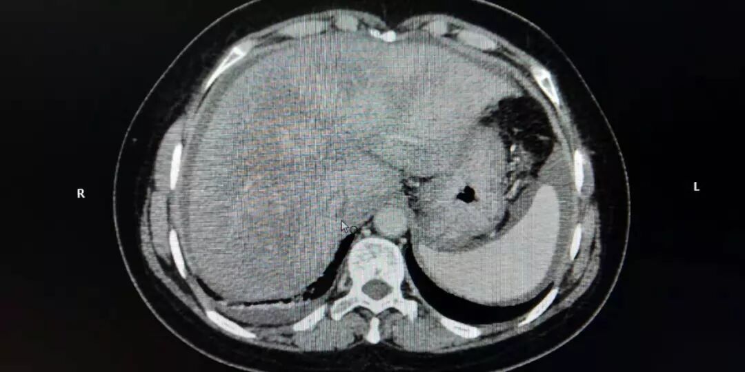
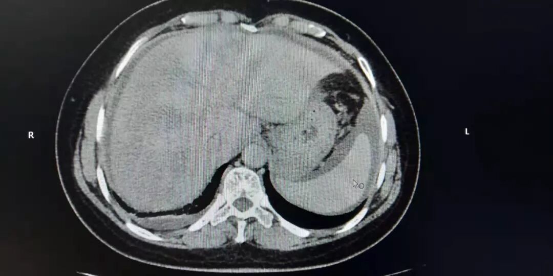
影像检查:
内科专家吴家礼率领团队经过全面的检查,在医师询问病史的过程中,一个细节引起了大家的重视,患者告诉医师因为长期腹胀腹痛,一年前开始,在一名自称是中医师的“医生”那里开始抓中药吃,起初有点“效果”,但是一直未见明显好转。甚至自己的身体还发生了其它状况。
根据患者临床检查和病史,在排除肝前肝后型门脉高压后,内科团队确定患者为肝性门脉高压。同时排除常见的先天遗传及后天获得的如:病毒性肝炎、自身免疫性肝病等原因引起的肝硬化。结合增强CT典型的肝脏不均匀的灌注,呈典型的花斑样改变,同时有大量服用中草药长达一年的病史,由肝小静脉闭塞症所致的门脉高压症,诊断基本成立。
经过近半个月的抗凝等治疗措施,病人的腹胀减轻、腹水减少,患者精神和饮食得到改善。
(1)肝小静脉闭塞症虽于我国较少见,但对于存在不明原因的肝损伤和大量腹腔积液的患者应高度警惕该病;
(2)患者应尽量到正规药房对症下药,在医生指导下应用相关药物等,提高警惕性;
(3)该病病死率高,但目前无特殊有效治疗方案,应早期发现早期诊断,并及时治疗。
编辑丨图文:张明飞
关键词:
吴家礼,呼吸疾病,急危重症,内科常见病,外科常见病
暂无数据