茶城家礼 杏林仁心

厚德、精医、博爱、惠民

MORE +

茶城家礼 杏林仁心

厚德、精医、博爱、惠民

MORE +
scroll down

柳叶刀斩除古稀老人病魔——巨大下段食管贲门胃底癌顺利手术

2018-12-26

作者:

浏览量:


      已是古稀之年的唐婆婆儿孙满堂,晚年生活幸福美满。然而从今年10月初开始,唐婆婆总是觉得吃饭难以下咽,有时候甚至必须要边吃饭边喝水水才能顺利下咽。病来如山倒,眼见着唐婆婆身体一日不如一日, 一家人十分焦急。

      随后,唐婆婆在家人的陪伴下来到我院就诊。本来以为只是因为老人年纪大身体抵抗力差了,但是经过全面检查之后,发现唐婆婆的病情比想象的要严重。

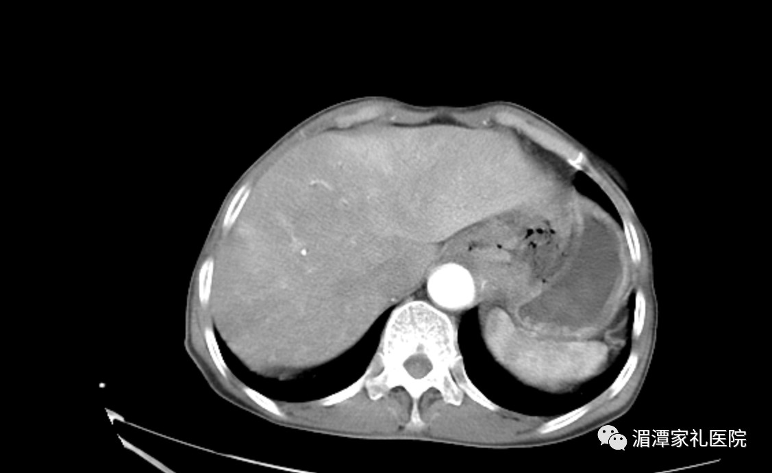
      经过胸部疾病诊疗中心主任医师赵正源检查,明确诊断唐婆婆为“巨大下段食管贲门胃底癌”。

     

 

      术前影像

       胸心外科主任医师赵正源率领团队进一步检查之后发现,唐婆婆体内肿瘤比较大,肿瘤距离胃左动脉仅有很小的间隙,手术中分离胃左动脉时如果稍有不慎便会造成大出血。但是如果不及时将肿瘤切除,随着病情加重,唐婆婆将再也无法吞咽食物。在充分完善了术前准备及术前检查后,凭借丰富的手术经验,赵正源率领团队于11月10日为唐婆婆顺利实施了手术,成功切除了巨大肿瘤。

切除的肿瘤

     术后,在胸部疾病诊疗中心医护团队的精心治疗、护理下,唐婆婆的身体顺利康复。

 

 术后影像

      就在术后6天(11月17号),唐婆婆迎来了自己70大寿,胸部疾病诊疗中心医护团队与她的家人一起为她庆祝了生日,老人十分开心。

 

 

 

 

胸部疾病诊疗中心学科带头人简介

 

赵正源  

博士 主任医师 副教授 胸部疾病中心主任

 

 

  在第四军医大学唐都医院胸外科工作16年,从事胸心外科及ICU工作25年,擅长胸外科常见病、多发病的诊断治疗。可以单独完成以下疑难疾病的外科治疗:

普通胸外科:

1. 消化道疾病:食管癌根治术(高位食管癌胃及结肠代食管颈部吻合术,体外循环下食管癌侵犯左房、主动脉的外科治疗)食管良性疾病(贲门失迟缓症胃底切开+Belsey Mark IV手术以及返流性疾病外科治疗及内科诊断治疗)

2. 肺部疾病:肺减容手术、气管肿瘤切除术、支气管肺动脉双袖切术、射频冷冻及放射粒子植入治疗晚期肺癌。体外循环支持下肺癌扩大根治术、体外循环支持下气管肿瘤切除术

3. 纵隔疾病:重症肌无力的外科治疗、纵隔肿瘤切除+上腔静脉置换术、体外循环支持下纵隔肿瘤切除+血管置换术

4. 胸壁畸形:鸡胸、漏斗胸外科治疗

心血管外科:

1、 体外循环支持下主动脉瘤外科手术治疗

2、 体外循环支持下深低温停循环手术治疗主动脉夹层

3、 体外循环支持下小儿先天性心脏病外科手术治疗

4、 冠状动脉旁路移植术

5、 体外循环支持下心脏瓣膜置换术

 

 

 


 

监审:吴家礼

编辑:张明飞

供稿:胸部疾病诊疗中心

 


 

上一页

下一页


关键词:

吴家礼,呼吸疾病,急危重症,内科常见病,外科常见病

暂无数据

暂无数据